
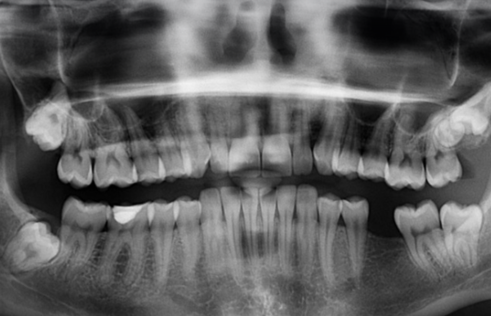
사랑니는 정상적으로 자라는 경우 무조건 발치할 필요는 없으나, 비정상적으로 자라 잇몸 아래에 충격을 가하면 칫솔이 닿기 어려워 충치가 쉽게 생겨날 수 있습니다. 잇몸의 일부가 밀려나 감염이 생기기 쉽기 때문이지만, 무조건적인 발치를 권하지 않습니다. 하지만 나이가 들수록 문제가 생기는 경우가 많이 있기는 합니다.
사랑니 발치 후 통증
사랑니 발치 후 통증과 부종은 사람마다 다르며 사랑니의 종류에 따라 다릅니다. 매복치아의 경우, 이빨을 뽑을 때 잇몸을 절개해야 하는데, 마취가 풀리면서 출혈, 부기, 고통이 일어날 수 있습니다.
마취는 대개 치료 후 1 - 2시간이 지나면서 고통이 시작되면서 풀리기 시작하므로 고통이 시작되기 전에 진통제를 복용하는 것이 가장 좋습니다. 붓기는 반나절 정도 지나면 금방 빠지는데, 얼음팩을 수건으로 감싸 식혀주면 더 빠르게 가라앉을 수 있습니다.
그러나 사랑니 발치 후 통증 관리에 대하여 잘 인지하고 있음에도 불구하고 사랑니 발치 후 주의사항을 이해하지 못하고 따르지 않아 환자들이 다시 병원을 찾는 경우도 있습니다. 따라서 오늘은 사랑니 발치 후 물 삼키는 방법, 식습관, 양치질 등 주의사항에 대하여 알려드리겠습니다.
사랑니 발치 후 마취 풀리는 시간
사랑니 발치 후 약 2시간 정도 솜을 물고 있어야 하며, 침을 뱉으면 출혈이 생겨날 수 있으므로 일시적인 기간동안만 삼키고 침을 뱉지 않는 것이 좋습니다. 그리고 물이나 음료를 마실 때 빨대를 사용하면 압력이 생겨 시술 부위에 압력이 가해질 수 있으므로 사용하지 않는 것이 좋습니다.
사랑니 발치 후 식사종류 및 시간
마취가 풀리는 데 걸리는 시간은 개인마다 다르다 보니 2~3시간 정도 기다렸다가 식사를 하는 것이 좋으며, 차갑거나 과열된 음식은 피하는 것이 좋습니다. 다만, 이빨을 발치한 부위가 부어오르거나 고통이 있는 경우 불편하고 식사하기 어려울 수 있으므로 처음에는 따스한 유동식을 마시는 것이 가장 좋습니다.
<사랑니 발치후 음식과 식사제한>
이물질 끼는 경우 , 물삼키는 법
사랑니 발치 후 봉합사를 제거한 후 이빨을 뽑은 자리에 구멍이 생겨 끼니 시 치아 사이에 쌀풀이 끼는 등 불편함을 느낄 수 있습니다. 이때 입을 헹구거나 도구를 활용하여 억지로 빼내지 말고 주사기에 물을 채워 조심깊게 뿜어내거나, 안에 물을 머금은 후 입 밖으로 살짝 부어서 접착제를 제거해 주세요.
사랑니 발치 후 물 삼키는 방법, 식습관, 양치질 등 주의사항에 관하여 알아봤습니다. 시술 후 관리도 매우 중요하므로 꼭 지켜주세요. 음주와 흡연에 관한 자세한 사항은 아래 다음글에서 다시 확인해 보도록 하겠습니다.
♣ 함께 읽으면 좋은 가장 인기 있는 BEST 정보글
[건강정보/치과 및 임플란트 정보] - 임플란트 뼈이식 후 흡연, 음주 와 커피 얼마나 참아야 할까?
[건강정보/성인병 및 질병관리와 식품] - 두통 지압법 , 두통 어지럼증 간단 해결방법
[건강정보/성인병 및 질병관리와 식품] - 녹내장 원인과 증상 , 치료 예방법
'건강 > 치과 및 임플란트 정보' 카테고리의 다른 글
| 사랑니 발치 후 드라이 소켓 증상 치료 (0) | 2023.11.05 |
|---|---|
| 사랑니 발치 후 실밥 제거 , 언제 하나요? (0) | 2023.11.05 |
| 사랑니 꼭 발치해야 하는 것일까? 사랑니 발치 통증관리 (0) | 2023.11.05 |
| 사랑니 발치후 음주, 흡연 (0) | 2023.11.05 |
| 사랑니 발치 후 식사, 음식, 발치비용 (0) | 2023.11.05 |
| 사랑니 발치통증 대처방법 10가지 (0) | 2023.11.04 |
| 사랑니 발치 후 주의할점 및 음식, 식품 가려야 할 것 (0) | 2023.11.04 |
| 사랑니 발치후 주의사항 알아보자 (0) | 2023.11.04 |
댓글